Dr. Mohamad Baghdadi

Specialist Prosthodontist

Dr. Mohamad Baghdadi

Specialist Prosthodontist


Dr. Mohamad Baghdadi graduated from Damascus University in 1997 and practice dentistry in Syria. He travelled to Lebanon in 2008 where he got a master degree in Prosthodontics from Beirut University.

Then he travelled to Saudi Arabia in 2011, he worked as a medical director in the dental department of AL-Haramain Medical Complex and practice dentistry as a registered (specialist).

He had moved to UAE in 2018 and worked in Dubai before joining Harley Street Dental Centre.

During his career for more than 23 years, Dr. Mohamad has enrolled in many conferences and workshops in veneers, aesthetic smile designing and implants.


SERVICES:


  • Aesthetic Dentistry
  • Veneers, Crowns & Bridges
  • CAD/CAM prosthesis
  • Removable Prosthodontics
  • Root Canal Treatment
  • Aesthetic fillings
  • Cleaning, Scaling & polishing teeth
  • Teeth whitening
  • Extractions
  • Gingivectomy
  • Prosthesis supported by Implants


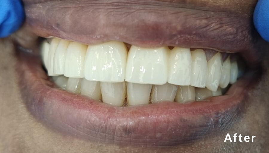
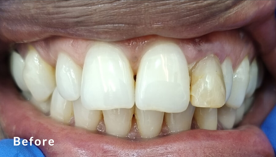
Before & After

Crown & Veneers


Before & After

Crowns


Before & After

Hollywood Smile



WHAT PATIENTS SAY ABOUT DR. MOHAMAD

REVIEW DR. MOHAMAD ON GOOGLE

Thank you to Doctor Baghdadi Mohammad for his professionalism, his attentiveness and his patience.
He was able to advise me, take care of my teeth and give me a beautiful smile again.
Very good dentist in Abu Dhabi
I recommend. Without forgetting the entire team at the secretariat.
Impeccable clinic.
Translated by Google· Original (French)

-Philippe M.

The clinic is nice and cozy, pleasant staff. I explained to Dr. Mohamed that it was important for me not to remove the nerve if possible. He understood everything and tried to save the nerve. Everything went great, I’m happy. Thank you
Translated by Google ・ Original (Russian)

-Анастасия Кратюк

I highly recommend dentist Mohammad Baghdadi , he is the definetely the best prosthodontist in Abu Dhabi. I wanted to have veneers from a long time but I was worried, but he’s very professional and understanding . The final result is magnificent, I’m really greatful.

-Kawthar Alsous

The staff is friendly from the moment you walk in and throughout your appointment.
Dr Mohamad Baghdadi and his team provided an excellent experience. After having had a previous experience that was not ideal, I was reluctant to find a new dentist that I could trust. Dr Mohamad is very professional and skilled, top to bottom. I was given a clear information, and he let me know every step on the way what’s going on so there are no surprises. Very calming as well. I highly recommend.

-Olga Kulikova

Dr. Mohamed Baghdadi is an excellent doctor. He works hard and is super diligent in his work. The work is excellent! Dr. Mohamed started with a very bad condition in my entire mouth and turned it into a whole new set of teeth. Everything has gone very well. I would highly recommend Dr. Mohamed and I have already recommended him to two friends. The Harley Street Dental Center has all the new tools and I highly recommend that facility as well!

-Richard Atkisson

I have finished a treatment involving a panoramic X-ray, deep clean, and two crowns over a time of two weeks. The dentist was Dr Mohammad Baghdadi. Both him and his assistant were quite excellent and professional in all my time there. I do have a phobia about dentists in general but this was actually just a good experience with very good outcomes in every aspect. I do totally recommend him for dental treatment given the above!

-David Goodwin

Highly recommended excellent treatment I had my upper veneers done with the hollywood smile designer Dr.Mohamed Baghdadi amazing results with natural smile everybody started asking me about Harley! Thank you to Harley Dental centres!

-Sherly P.

I’d like to thank Dr. Mohammad Bghdadi for the best dental treatment I had in Abu Dhabi. He did ceramic fillings and crowns, using modern equipments. He is really experienced . The result looks totally natural and amazing.

-Jasmine Shami

I had a dental treatment with Dr Mohammad Baghdadi, and it was very comfortable, completely painless and I was very satisfied. I recommend him.

-Maher Al Chaar

Dr. Baghdadi is the best dentist I’ve ever met, he will give the most beautiful hollywood smile and the most professional dental treatment, no words are enough to thank him.

-Kawthar Reda

It’s my third visit and every time I’m happy with the level of professionalism. I’m grateful to dr. Mohamed Baghdadi for making my smile wonderful.

-Sandra Zinovchenko

Great experience with Dr. Mohammad baghdadi—gentle, efficient, and reassuring.

-Seba T.

I highly recommend Dr. Mohammed Baghdadi

-Mohammed H.

It was very hard to find a dentist that I could trust. Dr. Baghdadi has saved me from 3 implants just by trying a more conservative approach. I can only recommend Harley Street Dental Center. Best dentist in Abu Dhabi!

-Lucile P.

Dr M Baghdadi and Shelly are a great time and their professional approach with a warm touch make a dentist visit actually pleasant. Can highly recommend.

-Andreas R. Beisser

Best doctors and ofcourse doctor Mohammed baghdadi he is very professional, and bast greetings service

-S.

Quick appointments was able to get cleaning and in office whitening in same visit. Very pleased with Dr Baghdadi.

-Ken McCall


Opening Hours


Monday – Thursday
09:00 AM – 8:00 PM
Sunday
11:00 AM – 7:00 PM


Harley Street Abu Dhabi JCI


Grade A


Tasneef Certified

HSDC Grade A JDC CERTIFIED ABU DHABI




Book an Appointment









    Copyright © Harley Street Medical Centre 2025 | MOH : JY9VD33B-180825 - 15/08/2026

    CALL
    02 491 6885
    ONLINE
    APPOINTMENT
    BOOK AN APPOINTMENT
    Scan the code